교정 후 모습을 예측할 수 있는
투명하고 편안한 치아교정장치
이튼 365 치과는 인비절라인 정품만을 사용합니다.
인비절라인 교정 치료 계획 교정 치료 과정
구강 스캔
치과에서는 iTero Element 스캐너를 활용하여 환자의 치아를 빠르고 정밀하게 스캔하고, 고해상도의 3D 이미지를 생성합니다. 이 과정은 눈에 보이지 않는 미세한 치아 구조까지 정확하게 캡처하여, 향후 진행 될 치아 이동 계획의 기초가 되는 중요한 첫 단계입니다. 디지털 기술을 통해 보다 편안하고 효율적인 치료 경험을 제공합니다.
치아 이동의 사전 설계
치과에서는 전 세계 환자 데이터를 기반으로 구축된 ClinCheck 소프 트웨어를 활용해, 모든 치아의 이동을 정밀하게 시뮬레이션하고 계획 합니다. 치료 전 미리 결과를 예측할 수 있는 이 과정을 통해, 환자만을 위한 맞춤형 치아 이동 설계와 새로운 미소를 위한 로드맵이 완성됩니다.
나만의 맞춤 교정장치 설계 나만의 맞춤 교정장치 설계 나만의 맞춤 교정장치 설계
정확한 개인 맞춤형으로
치과에서는 iTero Element 스캐너를 사용하여 당신 치아의 정확한 3D 이미지를 빠르게 캡쳐합니다.
편안함을 위해
투명교정장치라고 해서 모두 같은 것은 절대 아닙니다. 인비절라인은 스마트트랙 소재로 제작되어 편안한 착용감을 주도록 개발되었습니다.
환자의 잇몸 곡선에 따라
모든 사람의 잇몸라인은 다르기 때문에 인비절라인 교정장치도 각 환자의 잇몸라인에 딱 맞추어 맞춤 제작 됩니다. 이는 인비절라인이 편안하고 우수한 교정장치가 될 수 있는 이유입니다.
-
투명한 재질
인비절라인은 눈에 거의 띄지 않기 때문에 교정중에도 항상 자신있게 웃을 수 있습니다.
-
탈착 가능
인비절라인은 탈착이 가능하여 치료 중에도 일상생활에 대한 제약이 적고, 좋아하는 음식을 마음껏 먹을 수 있습니다.
-
적은 통증
인비절라인은 부드럽고 유연한 플라스틱 재질로 제작되어 통증과 이물감이 적습니다.
-
적은 내원 횟수
인비절라인은 내원 횟수가 적어 병원을 자주 방문하는 것에 대한 시간적인 부담이 적습니다.
*단, 내원횟수는 개인 차가 있을 수 있습니다. -
구강관리 용이
인비절라인은 탈착이 가능하여 교정중에도 평소처럼 양치 및 치실을 사용할 수 있어 구강건강 및 위생관리에 용이 합니다.
인비절라인 FAQ
-
Q. 인비절라인 치료 기간은 얼마나 걸리나요?
치료 기간은 개인의 치아 상태와 교정 목표에 따라 달라질 수 있지만, 보통 6개월에서 24개월 정도 소요됩니다. 간단한 부분 교정은 더 짧게, 복잡한 경우는 더 오래 걸릴 수 있으며, 정확한 기간은 상담을 통해 확인할 수 있습니다.
-
Q. 하루에 얼마나 오래 장착해야 하나요?
효과적인 교정 결과를 위해서는 하루 20~22시간 이상 착용하는것이 권장됩니다. 매일 식사하거나 물 이외의 음료를 마실 때, 양치와 치실 사용 시에만 빼주셔야 하며, 꾸준한 착용이 좋은 결과로 이어집니다.
-
Q. 교정 중에도 식사는 자유롭게 할 수 있나요?
네, 인비절라인은 식사 전에 간편하게 탈착할 수 있어 평소처럼 자유롭게 식사하실 수 있습니다. 단, 식사 후에는 반드시 양치하고, 얼라이너를 깨끗이 헹군 뒤 다시 착용해주셔야 위생과 치료 효과를 유지할 수 있습니다.
-
Q. 인비절라인 착용 시 아프거나 불편하지는 않나요?
새로운 단계의 얼라이너를 착용할 때는 약간의 압박감이나 이물감이 느껴질 수 있으나, 이는 치아가 이동하는 과정에서 나타나는 자연스러운 반응이며, 대부분 며칠 내에 점차 적응됩니다. 금속 교정 장치에 비해 자극이나 통증이 적은 점은 인비절라인의 장점입니다.
-
Q. 인비절라인 착용 시 눈에 잘 띄나요?
인비절라인은 투명하고 의료용 고급 소재로 제작되어 가까이서 보지 않으면 잘 눈에 띄지 않습니다. 특정 각도나 조명에서는 약간의 반사가 있을 수 있지만, 일반적인 금속 교정장치에 비해 훨씬 자연스럽고 눈에 잘 띄지 않습니다.
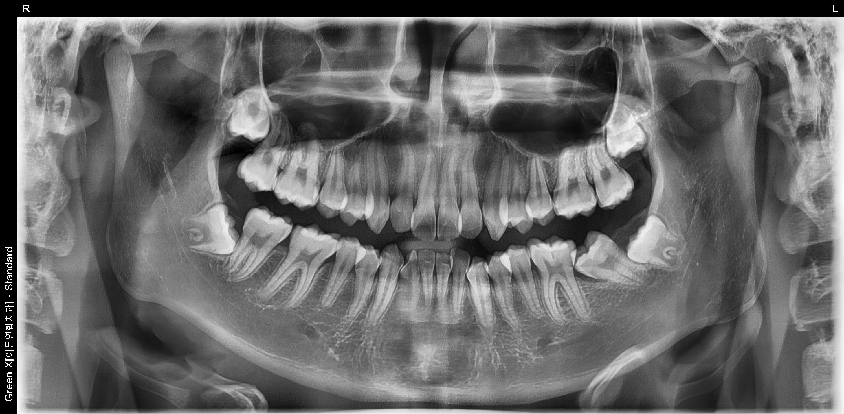
환자명 : 이OO
2025.05.26 업데이트
수술 후 촬영일자 : 2025.04.04
*해당 이미지는 의료법 제57조 동법 시행령을 준수하여 본원에서 직접 촬영했습니다.
치료 전후 사진은 환자분의 동의하에 동일 조건, 인물을 촬영 한 사진을 인위적인
수정 없이 사용해 일반적인 치과 치료 정보를 제공할 목적으로 게시되었습니다.
모든 시술은 개인에 따라 차이가 있을 수 있으며, 부작용이 발생할 수 있으니 의료진과
충분한 상담 후 진행하셔야 합니다.
국가지정 구강검진기관
구미 이튼 365 치과는
국민건강보험공단에서 지정한
성인 구강검진 기관입니다.





