통증 없는
편안한 수술이
되도록 최선을
다하겠습니다.
구미 이튼 365치과
송억준 대표원장

통합치의학과 전문의
365일
평일 야간
진료
필요할때
언제든지
내원해주세요!
- 1500+임플란트 총 식립수
- 10000+내원 환자 누적수
- 95.0%고객만족도
- 2015개원연도



· 잇몸뼈 흡수 억제 I 잇몸 조직 손상 감소
· 치료 기간 단축으로 빠른 일상생활
· 검증된 임플란트 정품 시술
구미 이튼 365 임플란트는 다릅니다
수많은 성공적인 임상 사례를 통해, 누적된 임플란트 수술을 만나보세요.
구미에는 이튼 365 치과가 있습니다.
수면 임플란트
의식하 진정요법
구미 이튼 의식하 진정요법은 치과에 대한 심한 공포를 갖고 계시거나 통증과 고통에 민감한 분들에게 수면내시경과 비슷한 원리로 편안하게 치과 진료를 받고 안정적인 치료를 받을 수 있습니다.
고난이도 임플란트
상악동 거상술
광대뼈 안쪽에 위치한 빈 공간을 뜻하며 얇고 예민한 상악 동막을 들어 올린 뒤 확보된 공간에 뼈를 이식하여 임플란트를 식립하는 수술입니다.
네비게이션 임플란트
세심한 진단과 분석
3D 구강 스캐너, 3D CT 등을 통해 구강 구조와 치조골 상태를 정밀하게 파악하여 환자별 최적의 위치와 각도·깊이에 식립함으로써 출혈과 통증을 최소화한 임플란트 수술입니다.
보험 임플란트
만 65세 이상, 모두 혜택
만 65세 이상 부분 무치악 환자분이시라면 임플란트 보험 혜택이 가능합니다.
본인 부담율 30%의 부담스럽지 않은 비용으로 임플란트가 가능합니다.
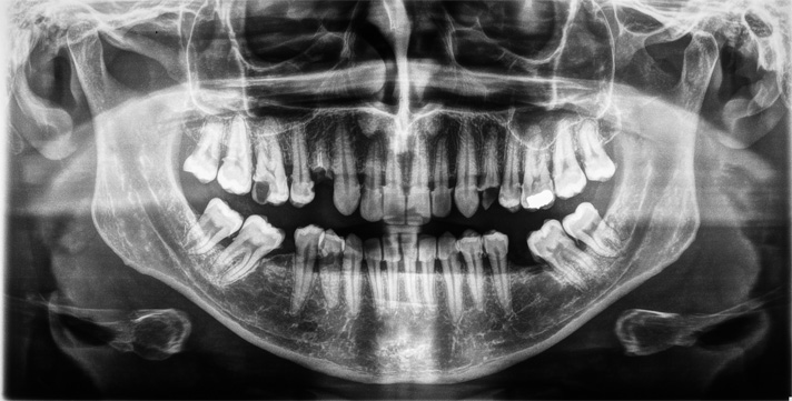
환자명 : 사OO
2025.05.26 업데이트
수술 후 촬영일자 : 2025.02.20
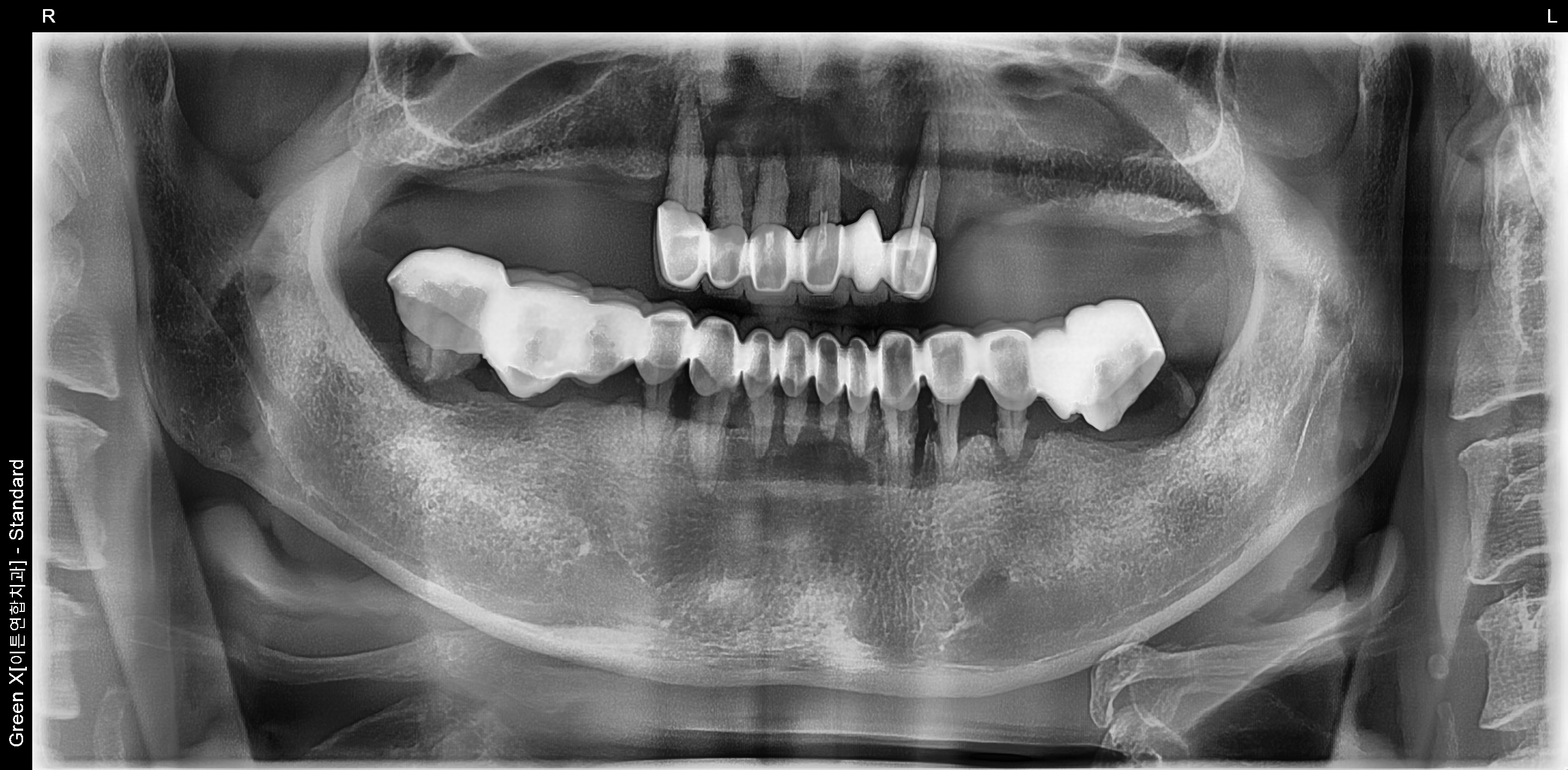
환자명 : 이OO
2025.05.26 업데이트
수술 후 촬영일자 : 2025.03.07
*해당 이미지는 의료법 제57조 동법 시행령을 준수하여 본원에서 직접 촬영했습니다.
치료 전후 사진은 환자분의 동의하에 동일 조건, 인물을 촬영 한 사진을 인위적인
수정 없이 사용해 일반적인 치과 치료 정보를 제공할 목적으로 게시되었습니다.
모든 시술은 개인에 따라 차이가 있을 수 있으며, 부작용이 발생할 수 있으니 의료진과
충분한 상담 후 진행하셔야 합니다.


